Es kommt mir manchmal vor, als sei ich in meiner logopädischen Praxis wie in einem Spital auf einer spezialisierten Abteilung: ich sehe nur noch Menschen mit den gleichen Diagnosen. Alle sind hier versammelt, als ob es diese Krankheitsverläufe massenweise gäbe.
Und doch: so selten sind Rezidive nach Spangenkorrekturen und Kieferoperationen nicht. Ein Rezidiv bedeutet: die frühere Zahn- oder Kieferfehlstellung stellt sich wieder ein. Betroffene melden sich bei mir und suchen Antworten und Hilfe. Selten schickt sie der Arzt, oft finden sie den Weg über die Recherche im Internet.
Was ist passiert?
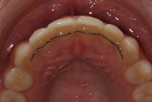
Sogenannte Retainer (Synonyme: Zahnstabilisator, Retentionsgerät) sollen die Resultate kieferorthopädischer oder kieferchirurgische Behandlungen erhalten. Will heissen: ein Draht wird, von aussen her unsichtbar, hinter die Zahnbogen geklebt, damit die schön aufgereihten Zähne genau so stehen bleiben. Es gibt verschiedene Materialien und Klebetechniken (in der Regel wird die Befestigung von Eckzahn zu Eckzahn angebracht).

Von einem Rezidiv Betroffene haben Zeit und Geld investiert und oft auch Schmerzen durch Spangen oder Operationen erlitten. Doch bei ihnen ging der Retainer kaputt (bei einer Patientin gar dreimal) oder die Zähne verschoben sich samt geklebtem Draht wieder in eine unerwünschte Richtung. Verantwortlich dafür sind meist die sieben Muskeln der Zunge. Sie haben eine so gewaltige Kraft, dass sie diese Drähte sprengen können.
Die Zungenspitze sollte in der Zungenruhelage oben hinter den Schaufelzähnen liegen kommen und wie der Name besagt, dort ruhen. Meist wird sie aber vom Retainer regelrecht angezogen. Wie wenn ein Stückchen Fleisch zwischen den Zähnen hängen bleibt, wird die Zungenspitze reflexartig animiert, an diesem Fremdkörper herumzuzüngeln. Es entsteht ein unruhiger Mund (restless mouth) und damit ein oraler Habit. Habits sind Gewohnheiten rund um den Mund, für welche die Regel gilt: Habits verunmöglichen ein stabiles, korrektes Schluckmuster.
Meine Patienten mit Rezidiven zeigen ausnahmslos ein falsches Schluckmuster: dabei gehen die Kräfte der Zunge nicht nach oben in den Gaumen, sondern nach vorn an die Schaufelzähne und somit an den Retentionsdraht. So kann dieser kaputt gehen, denn wir schlucken am Tag zweimal pro Minute und nachts einmal. Diese Kräfte sind ungeheuer gross; man sagt 4000kg auf 24 Stunden: die Zunge als Draht-Sprenger oder Beisszange.
Spitze Zungen behaupten: Craniofaziale Therapeuten, die Myofunktionstherapie anbieten, braucht es nicht. So sehen es leider auch viele Krankenkassen. Ich aber sehe spitze Zungen, die teure Behandlungen zunichtemachen. Ein Teufelskreis startet mit den Retainern, die einen Habit auslösen, welcher die Zungenruhelage und das physiologische Schlucken stören. Würde man die Patienten aufklären und ihnen vor, während oder nach einer kieferorthopädischen oder -chirurgischen Intervention funktionsorientierte Therapie verschreiben, wären Retainer allenfalls nicht mehr nötig und Rezidive liessen sich vermehrt verhindern. Eine Studie dazu wäre spannend. Eine neue Ära hängt von einer vermehrten Zusammenarbeit zwischen Ärzten und Therapeuten ab. Böse Zungen behaupten: dazu ist die Zeit noch nicht reif. Was denken Sie?
Sibylle Wyss-Oeri
Kommentare
Eine Studie dazu wäre
Neuen Kommentar schreiben